耳垢そうじ・耳鳴り・外耳炎のことなら
南福岡耳鼻咽喉科
〒812-0884 福岡県福岡市博多区寿町2-9-30JR南福岡駅ビル2階 地図はこちら
診療時間 9:00~12:30/14:30~18:00 水曜は12:00 土曜は13:00まで 午後休診
休診日:日曜・祝日・お盆・年末年始
お気軽にお問合せください
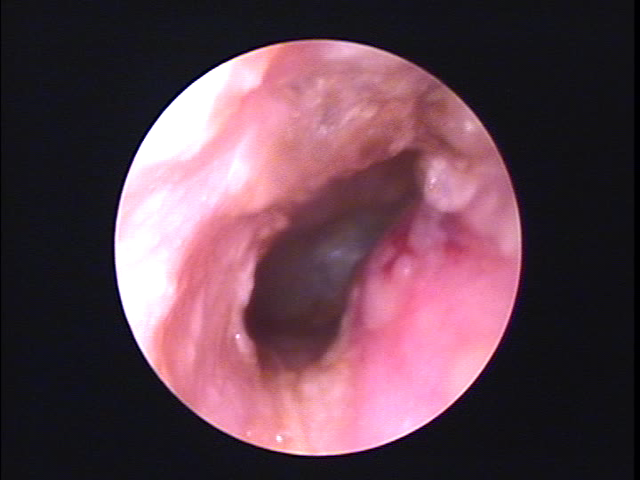
急性中耳炎・滲出性中耳炎・外耳炎・鼓膜損傷・アレルギー性鼻炎といった病気を解説しています。
子供さんに多い急性中耳炎について説明します。耳痛が起こります。
聞こえが悪くなるタイプの中耳炎です。
外耳道に炎症が起こって、痛み・耳だれなどの症状があります。
鼓膜を傷つけて穴が開いた場合について説明します。
くしゃみ・水様性鼻汁・鼻閉を主な症状とするアレルギーの病気です。
お問合せはお気軽に
お電話ください。
きちんとした対応・治療をモットーとしておりますのでお気軽にご相談ください。