診療時間  9:00~12:30/14:30~18:00  
水曜は12:00 土曜は13:00まで 午後休診 

休診日:日曜・祝日・お盆・年末年始     

お気軽にお問合せください

092-574-4187

重要なお知らせ

2026年4月25日土曜日に閉院します。
長い間大変お世話になりました。

2026年5月より
新しく 永田 圭 院長にて
南福岡はら耳鼻咽喉科 になります。
ホームページはこちらです。2026年5月より

                             2026年2月28日

耳あかそうじの写真(画像)

耳あかそうじの実際の写真をまとめて掲載しているページです。

耳あか(耳そうじ)の解説のページではよくある質問などにスペースを割いていますので、ご参照下さい。

耳あかを顕微鏡を使って観察し処置を行います。

特殊な耳用の鉗子を使って掴んで取り出したり、掃除機のような吸引の器械を使って吸い出したりします。必要となれば清潔な温めた生理食塩水で洗浄したりします。また、硬くて取りにくい耳あかの場合には、生理食塩水や点耳薬などを耳に入れて、耳あかをふやかして取りやすくして除去することもあります。

これらの写真はご本人もしくは保護者の了解をとれた方のみ掲載しています。

耳垢そうじの動画

耳あかの動画を紹介しています。写真をクリックしてください。外部リンクが開きます。
再生回数が多い動画を紹介しています。

アイコンより登録が便利です。
googleでのログインが必要になります。

聞こえが悪くなった巨大な耳あかを摘出している動画です。

巨大な耳あかを摘出している動画です。

こちらも巨大な耳あかを摘出している動画です。

耳垢そうじの実際

左耳の外耳道手前の後ろ上の耳あか (福岡県糟屋郡篠栗町の方)

左耳の耳あか

左耳の耳あか 糟屋郡篠栗町

外耳道手前の後ろ上に耳あかがあります。

鉗子でつかむ瞬間

左耳の耳あか 糟屋郡篠栗町

耳用の特殊な鉗子で耳あかをつかもうとしている瞬間です。

除去後です

左耳の耳あか 糟屋郡篠栗町

生理食塩水で洗い流したり、鉗子で耳あかを除去し、綺麗になりました。

左耳奥下方の耳あか (福岡市博多区の方)

左耳の耳あか

左耳の耳垢そうじ 福岡市博多区

鼓膜のすぐ手前の下に黒い耳あかがあります。

鉗子で

左耳の耳垢そうじ 福岡市博多区

耳用の特殊な鉗子で耳あかをつかんで取り出しています。

除去後です

左耳の耳垢そうじ 福岡市博多区

耳あかを除去し、綺麗になりました。

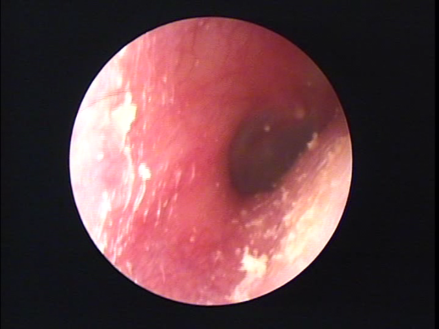
左耳奥の大きな耳あか (福岡市博多区の方)

左耳の耳あか

左耳の耳垢掃除 福岡市博多区

鼓膜のすぐ手前に大きな耳あかがあり、鼓膜半分が観察できません。

吸引して

左耳の耳あか 福岡市博多区

耳用の吸引を使って、掃除機のように吸い出しています。

除去後です

左耳の耳垢掃除 福岡市博多区

大きな耳あかがなくなりました。細かい耳垢はその後生理食塩水で洗い流しました。

右耳奥の大きな耳あか (福岡市南区の方)

右耳の耳あか

右耳の耳あか 福岡市南区

鼓膜の手前の後ろ側の下(外耳道奥)に耳あかがあります。

鉗子で

右耳の耳あか 福岡市南区

耳用の特殊な鉗子で耳あかをつかんで取り出しています。

除去後です

右耳の耳あか 福岡市南区

耳あかを除去し、綺麗になりました。細かい耳垢はその後生理食塩水で洗い流しました。

その他の耳あかの写真

その他の耳あかの写真を掲載しています。これらの耳あかも綺麗に摘出しています。摘出中、摘出後の写真は上にあげた写真と同様なので省略します。

国外の方

スイス連邦の方
スイス連邦の方の耳垢掃除の画像

関西地方の出身で現在スイス連邦に住まれているそうです。日本に帰省&旅行された際、右耳がガサガサすると受診されました。両方の外耳道に付着していた耳垢を摘出したらガサガサは消失したそうです。

香港の方
香港の方の耳垢掃除の画像

耳が痒いと受診されました。湿性の耳垢が外耳道全体に付着していて生理食塩水で洗浄するなどして綺麗にしたら症状は消失しました。

カナダの方
カナダの方の耳垢掃除の画像

両耳が痒いと受診されました。外耳道に耳垢が付着していてそれが原因と診断しました。摘出して痒みは消失したそうです。

北海道・東北地方の方

北海道の方
北海道札幌市南区の方
北海道札幌市南区の方の耳垢そうじの画像

耳が痒い・詰まっていると受診されました。右耳は外耳道に耳垢が付着してそれが詰まっている感じになっていました。反対の耳は外耳炎を起こしていてその治療も行いました。

⇒外耳炎はこちら

北海道北見市の方
北海道北見市の方の耳垢そうじの画像

耳が痒いと受診されました。外耳道に細かい耳垢が付着していました。耳あかの量としては多くはありませんが生理食塩水できれいに洗って除去したところ痒みは消失したそうです。

関東地方の方

茨城県の方
茨城県高萩市の方
茨城県高萩市の方の耳あかの画像(子ども)

耳が詰まるとのことで受診されました。生理食塩水にて綺麗に洗い流したところ症状は軽減したそうです。

茨城県土浦市の方
茨城県土浦市の方の耳あかそうじ

鼓膜のそばから外耳道入り口の耳の毛が生えているところまで耳あかが充満していました。鼓膜に付着している耳あかまでそうじしました。

茨城県つくばみらい市の方
茨城県つくばみらい市の方の耳垢掃除の画像

画像が暗くて見にくくなって申し訳ありません。耳がゴソゴソすると受診されました。外耳道に耳垢と耳毛が付着していました。生理食塩水で洗い流したところ症状は消失したそうです。

栃木県の方
栃木県那須郡那須町の方
栃木県那須郡那須町の方の耳あかの画像(子ども)

子どもの耳に耳垢があると親御さんが連れてこられました。両外耳道に耳垢が付着して顕微鏡下に丁寧に摘出しました。親御さんにもその様子を見てもらいました。

埼玉県の方
埼玉県入間市の方
埼玉県入間市の赤ちゃんの耳垢掃除の画像

耳垢が詰まっていると受診されました。赤ちゃんなので動いて画像がぶれています。どうしても動いてそうじしにくいですが綺麗に除去して鼓膜が正常であることを確認しました。生まれたばかりの赤ちゃんでもお掃除可能です。

埼玉県川越市の方

右耳がカサカサすると受診されました。外耳道に細かい耳垢と、さらに細いですが上方には耳毛が付着していました。生理食塩水で綺麗に洗い流して症状は消失したそうです。

埼玉県さいたま市中央区の方
埼玉県さいたま市中央区の方の耳垢掃除の画像

子どもさんで耳垢が詰まって、鼻水・鼻詰まりがあると受診されました。両外耳道に耳垢が詰まっていたので除去して鼓膜が正常なのを確認しました。

千葉県の方
千葉県松戸市の方
千葉県松戸市の方の耳垢掃除の画像

子どもさんの耳垢が詰まっていると受診されました。動くので画像はぶれていますが、両外耳道から鼓膜まで耳垢が詰まっていました。このような場合でも洗浄・摘出し、鼓膜が正常なことを確認しました。

千葉県東金市の方
千葉県東金市の方の耳垢掃除の画像

耳が痒いと受診されました。外耳道に耳垢が付着していてそれが痒みの原因と診断しました。生理食塩水を使って洗浄するなどして痒みは消失したそうです。

東京都の方
東京都中央区の方
東京都中央区の方の耳垢掃除の画像

両耳がガサガサすると受診されました。両方の鼓膜に耳垢が付着していましたので、生理食塩水で洗浄して丁寧に除去しましたらガサガサは消失したそうです。外耳炎も併発していたのでその治療もお勧めしました。

⇒外耳炎はこちら

東京都江戸川区の方
東京都江戸川区の方の耳あかそうじの画像

イヤーエステ?(耳掃除サロン?)に行かれたところ両鼓膜のそばに耳垢が存在していたけれど除去出来ない(自然と出てくる?)と言われて受診されました。両外耳道奥に耳垢がびっしりと存在していました。鼓膜に付着している耳垢を含めて生理食塩水で洗い流すなどして除去しました。

東京都渋谷区の方
東京都渋谷区の方の耳あかそうじの画像

両耳が痒いと受診されました。中央に写っているツチ骨という骨に耳垢が付着しています。このような耳垢を除去するのは非常に難しく丁寧に痛くないように吸引して取り除きました。

神奈川県の方
神奈川県藤沢市
神奈川県藤沢市の耳垢掃除の画像

子どもさんの耳垢が詰まっているのと鼻血が出ると受診されました。動くので画像はぶれていますが、両外耳道から鼓膜まで耳垢が詰まっていましたので摘出しました。

神奈川県横浜市鶴見区の方
神奈川県横浜市鶴見区の耳垢掃除の画像

咳が続くとのことで受診されました。耳あかを掃除しましたら気が付かなかった耳のつまり感が消失したそうです。

神奈川県川崎市高津区の方
神奈川県川崎市高津区の耳垢掃除の画像

身体がだるくてインフルエンザが心配で受診されました。たまたま耳あかが詰まっていて除去すると耳が軽く感じるようになったそうです。

中部地方の方

石川県の方
石川県金沢市の方
石川県金沢市の方の耳垢掃除の画像

鼻水が出て両耳がつまったとのことで受診されました。両耳が耳垢で充満していたので除去しました。アレルギー性鼻炎もありその治療もすることになりました。

⇒アレルギー性鼻炎はこちら

長野県の方
長野県岡谷市の方
長野県岡谷市の方の耳垢掃除の画像

小さなお子様で画像がぶれていますが、両耳を触って匂いがすると受診されました。両耳に耳垢が詰まっていて、生理食塩水で洗い流し、摘出しました。鼓膜が正常であることを確認し経過を見ていただくことにしました。

静岡県の方
静岡県駿東郡長泉町の方
静岡県駿東郡長泉町の方の耳垢掃除の画像

両耳がつまったとのことで受診されました。写真は奥の耳垢ですが手前にも耳垢があり、除去すると症状は消失しました。

静岡県浜松市中区の方
静岡県浜松市中区の耳垢掃除の画像

両耳がガサガサするそうです。外耳道に耳垢が付着していたので丁寧に剥離して摘出しました。

静岡県熱海市の方
静岡県熱海市の方の耳垢そうじ耳鳴りの画像

耳鳴りがして耳がガサガサすると受診されました。両耳とも外耳道に耳垢が付着していて生理食塩水できれいに洗って摘出しました。摘出後耳鳴りは軽くなり、ガサガサは消失したそうです。

岐阜県の方
岐阜県不破郡垂井町の方
岐阜県不破具郡垂井町の方の耳垢掃除の画像

両耳がつまったとのことで受診されました。画面左中央に鼓膜に付着してる耳垢がありそのために詰まっているようでした。注意深く吸引して症状は消失しました。

岐阜県岐阜市の方
岐阜県岐阜市の耳垢掃除の画像

両耳が痒いとのことで受診されました。外耳道手前から奥まで、および鼓膜にも耳垢が付着していました。生理食塩水で洗い、鼓膜を傷つけないように丁寧に除去して痒みは消失しました。

岐阜県加茂郡川辺町の方
岐阜県加茂郡川辺町の耳垢掃除の画像

両耳が痒いとのことで受診されました。外耳道手前から奥まで、および鼓膜にも耳垢が付着していました。生理食塩水で洗い、鼓膜を傷つけないように丁寧に除去して痒みは消失しました。

愛知県の方
愛知県名古屋市熱田区の方
愛知県名古屋市熱田区の方の耳あか

左外耳道前方下に耳あかが付着していました。除去後スッキリしたそうです。

愛知県名古屋市瑞穂区の方
愛知県江南市の方の耳垢掃除の画像

咽頭痛(のどが痛い)と受診されたところ、右耳に耳垢が詰まっていました。鉗子にて除去したところ耳が軽くなったそうです。

愛知県名古屋市瑞穂区の方

両耳がかゆい(痒い)とのことで受診されました。手前に耳垢の他によく見ると外耳道に薄く貼り付いています。すべての耳垢を丁寧に取り除きましたら症状は軽減しました。

近畿地方の方

京都府の方
京都府京都市左京区の方
京都府京都市左京区の方の耳あか掃除の画像

ジーとする耳鳴りがあると受診されました。両耳に耳毛が付着していたので丁寧に除去して、耳鳴りの検査治療を行うことにしました。

⇒耳鳴りはこちら
⇒耳鳴り外来はこちら
⇒耳鳴り治療の実際はこちら

大阪府の方
大阪府大阪市鶴見区の方

耳を痛がるとのことで保護者の方がお子さんを連れてこられました。耳垢が充満していて鼓膜が見えないので摘出しましたところ、鼓膜が発赤していて急性中耳炎でした。このような場合、耳垢を摘出することは大切です。

⇒急性中耳炎はこちら

大阪府大阪市東成区の方
大阪府大阪市東成区の方の耳あか掃除の画像(外耳炎)

両耳が痒くてガサガサすると受診されました。両鼓膜のすぐそばに耳垢が付着していてそのためガサガサしているようでした。耳垢を除去しました。ガサガサは消失しましたが、外耳炎で痒いようなので引き続きの治療をお勧めしました。

⇒外耳炎はこちら

大阪府吹田市の方
大阪府吹田市の方の耳あか掃除の画像

子どもさんの両耳に耳垢があるとのことで保護者の方が連れてこられました。生理食塩水で洗って除去しました。

兵庫県の方
兵庫県豊岡市の方
兵庫県豊岡市の方の耳垢掃除の画像

鼓膜前方中央に小さな耳あかと手前に大きな耳あかがあり、生理食塩水にてそうじしました。

兵庫県宝塚市の方
兵庫県宝塚市の方の耳垢そうじの画像

子どもさんが耳を痒がるそうで保護者の方が連れてこられました。両耳に耳垢がありそれが原因と思われました。生理食塩水で洗ったり、鉗子で摘出するなどして綺麗にしました。

兵庫県尼崎市の方
兵庫県尼崎市の方の耳垢掃除の画像

耳垢が詰まってガサガサすると受診されました。外耳道一杯に耳垢が詰まって音がしていたようです。除去したところガサガサは無くなったそうです。

奈良県の方
奈良県奈良市の方
奈良県奈良市の方の耳あか掃除の画像

耳がキーンとするとのことで来院されました。外耳道に耳垢が付着して除去したところ消失したそうです。

中国・四国地方の方

島根県の方
島根県江津市の方
島根県江津市の方の耳垢の画像(耳鳴り)

右耳が変な感じがして、耳鳴りがすると受診されました。両外耳道が耳垢で充満していて除去すると症状は軽減したそうです。

耳鳴りはこちら
⇒耳鳴り外来はこちら
⇒耳鳴り治療の実際はこちら

岡山県の方
岡山県岡山市中区の方
岡山県岡山市中区の方の耳垢掃除の画像

耳がガサガサすると受診されました。鼓膜のそばに耳垢と髪の毛がありました。それらが鼓膜に当たっていたようで除去してガサガサは消失したそうです。

広島県の方
広島県呉市の方
広島県呉市の方の耳垢の画像

耳が痒いと受診されました。両鼓膜および外耳道に耳垢が付着してそれが原因と判断しました。除去したところスッキリされたそうです。

広島県広島市佐伯区の方
広島県広島市佐伯区の方の耳あかそうじの画像

外側から耳あかが見えて気になったそうです。外耳道に充満していましたが摘出しました。

広島県呉市の方
広島県呉市の方の耳垢掃除の画像

左耳が詰まると受診されました。外耳道に耳垢が付着していて洗浄などしたら症状は消失しました。

山口県の方
山口県下関市の方
山口県下関市の方の耳垢の画像

耳が痒いと受診されました。両耳外耳道に耳垢が詰まっていて摘出・洗浄して痒みが取れました。

山口県山口市の方
山口県山口市の方の耳あかそうじの画像(

喉が痛いとのことで来院されました。両耳の外耳道に細かい耳垢が付着していて、丁寧に除去・洗浄したところスッキリされたそうです。

 

山口県防府市の方
山口県防府市の方の耳垢の画像

咽頭痛と耳が気持ち悪いと受診されました。わかりにくいですが鼓膜の下方に横に黒い物が見られると思います。3mm位の長さの髪の毛が付着していましたので除去しました。気持ち悪い感じは消失しました。

香川県の方
香川県高松市の方
香川県高松市の方の耳垢掃除の画像

耳が詰まって鼻水が出ると受診されました。外耳道下壁に耳垢がありました。耳垢を除去すると耳のつまりは消失したそうです。

愛媛県の方
愛媛県松山市の方
愛媛県松山市の方の耳垢の画像(子ども)

大きな耳あかがありました。お利口さんの子どもさんで、動かないのでキレイに摘出出来ました。

九州地方の方

福岡県の方
福岡市博多区の方

左耳がキーンと耳鳴りがすると受診されました。左耳鼓膜付近に耳垢および細い毛が付着していました。除去したところ耳鳴りが軽減したようです。

⇒耳鳴りはこちら
⇒耳鳴り外来はこちら
⇒耳鳴り治療の実際はこちら

 

福岡市博多区の方
福岡県福岡市博多区の耳垢掃除の画像(咳が止まらない)

咳が止まらない(咳が続く)・耳がかゆいと受診されました。両耳の外耳道・鼓膜に耳垢がびっしりと付着していました。生理食塩水を使って綺麗に洗って摘出しました。この方は、いびき・無呼吸もあるそうで睡眠時無呼吸症候群の検査を行うことになりました。

⇒睡眠時無呼吸症候群(検査)はこちら

糸島市の方
福岡県糸島市の方の耳垢掃除の画像

耳が気持ち悪くてイヤーエステに行かれたそうですが、鼓膜の近くは掃除が出来ないと断られたそうです。外耳道および鼓膜にびっしりと耳垢が付着していました。生理食塩水を使って綺麗に洗い流して摘出しました。

佐賀県の方
佐賀県佐賀市の方
佐賀県佐賀市の方の耳垢掃除の画像

両耳がかゆくなるそうです。外耳道に耳垢が付着しやすいので定期的にお掃除に来院されています。

佐賀県鳥栖市の方
佐賀県鳥栖市の方の耳垢掃除の写真インフルエンザ予防接種外耳炎

インフルエンザ予防接種のため来院されました。診察したところ両耳が痒く外耳道に耳垢が付着していました。外耳炎も起こされていましたので治療をお勧めしました。

外耳炎はこちら

佐賀県小城市の方
外耳炎を起こしている佐賀県三養基郡基山町の方の耳垢掃除の画像

両耳が塞がって痒くてボワッとするそうです。両方の外耳道に耳垢が詰まっていて感染を起こしていました。除去して引き続き外耳炎の治療になります。

外耳炎はこちら

長崎県の方
長崎県佐世保市の方
外耳炎を起こしている長崎県佐世保市の方の耳垢掃除の画像

両耳がかゆかったそうです。細かい耳垢を掃除したら軽くなったそうです。軽度の外耳炎もありました。

⇒外耳炎はこちら

長崎県長崎市の方
長崎県長崎市の方の耳垢掃除の写真

両耳がかゆくてガサガサ音がするとのことで受診されました。外耳道手前から鼓膜そばにかけて耳垢が付着していました。生理食塩水で洗浄して綺麗にしたらガサガサは消失しました。アレルギー性鼻炎もあって耳が痒くなりやすく外耳炎の治療も行うことになりました。

⇒外耳炎はこちら
⇒アレルギー性鼻炎はこちら

 

長崎県長崎市の方
長崎県長崎市の方の耳垢掃除の画像

両耳に音がするそうです。右の鼓膜に耳垢が付着していて除去したら消失したそうです。

熊本県の方
熊本県上益城郡の方
熊本県上益城郡の方の耳垢掃除の画像

キーンと両耳鳴りがするそうです。両耳に耳垢があり右は鼓膜のそばにも存在していました。除去するとスッキリしたそうで、耳鳴りの治療を行うことになりました。

⇒耳鳴りはこちら
⇒耳鳴り外来はこちら
⇒耳鳴り治療の実際はこちら

熊本県玉名市の方
外耳炎を起こしている熊本県玉名市の方の耳垢掃除の写真

軟耳垢で取りにくく、綿棒で押し込まれてました。外耳道も腫れていたので耳垢を除去後、外耳炎の治療も行うことになりました。

⇒外耳炎はこちら

熊本県熊本市中央区の方
熊本県熊本市中央区の方の耳垢掃除の画像

耳がつまるとのことで受診されました。外耳道手前の大きな耳垢と奥の細かな耳垢を除去するとつまり感は消えたそうです。

大分県の方
大分県別府市の方
大分県別府市の方の耳垢掃除の画像

左耳がゴワゴワするそうです。鼓膜に小さな耳あかが無数に付いていました。生理食塩水で洗い流してスッキリされました。

大分県宇佐市の方
大分県宇佐市の方の耳垢掃除の写真(補聴器)

聞こえが悪いと受診されました。外耳道壁に耳垢が付着していました。吸引・洗浄で除去しました。標準純音聴力検査で難聴を認めたので補聴器の装用をお勧めしました。

補聴器はこちら

大分県大分市の方
大分県大分市の方の耳垢掃除の画像

耳がパリパリすると受診されました。両耳外耳道に耳垢が付着していましたので生理食塩水などを使って丁寧に剥して摘出しました。パリパリは無くなったそうです。

宮崎県の方
宮崎県宮崎市の方
宮崎県宮崎市の方の耳垢掃除の画像

両耳がかゆいとのことで受診されました。外耳道に耳垢が詰まっていて掃除をしたところ痒みは消失したそうです。

宮崎県児湯郡高鍋町の方
宮崎県児湯郡高鍋町の方の耳垢掃除の写真(補聴器)

両耳が痒くて頭を動かすとガサガサ音がすると受診されました。両鼓膜付近に耳垢が付着していて除去したところガサガサは消失しました。

宮崎県西諸県郡高原町
宮崎県西諸県郡高原町の方の耳垢そうじ

聞こえが悪いと受診されました。外耳道に耳垢があり摘出しました。摘出後聴力検査を行いました。

鹿児島県の方
鹿児島県いちき串木野市の方
鹿児島県いちき串木野市の方の耳垢掃除の画像

両耳がガサガサとすると受診されました。両方の鼓膜すぐそばに耳垢が付着していましたので丁寧に吸引して取り除いたところ症状は消失したそうです。

鹿児島県鹿屋市の方
鹿児島県鹿屋市の方の耳垢掃除の写真

ゴロゴロと耳で音がしていたそうです。鼓膜付近の耳あかが鼓膜に当たっていたと思われます。生理食塩水で綺麗に洗って摘出しゴロゴロはなくなりました。。

鹿児島県鹿児島市の方
鹿児島県鹿児島市の方の耳垢掃除の画像(急性中耳炎)

子どもさんが耳を良く触ると受診されました。外耳道に耳垢で充満していて鼓膜の診察が出来ませんでした。除去して急性中耳炎であることが確認出来ました。

沖縄県の方
沖縄県豊見城市の方
沖縄県豊見城市の方の耳垢掃除の画像

両耳がかゆいとのことで受診されました。外耳道手前に耳垢があり、細かい耳の毛が存在していました。生理食塩水で洗い流して痒みは消失したようです。