診療時間  9:00~12:30/14:30~18:00  
水曜は12:00 土曜は13:00まで 午後休診 

休診日:日曜・祝日・お盆・年末年始     

お気軽にお問合せください

092-574-4187

長崎県の方の耳あかそうじの写真(画像)

長崎県の方の耳あかそうじの実際の写真をまとめて掲載しているページです。

他の都道府県の方は耳あかそうじの写真(画像)をご参照ください。

耳あか(耳そうじ)の解説のページではよくある質問などにスペースを割いていますので、ご参照下さい。

耳あかを顕微鏡を使って観察し処置を行います。

特殊な耳用の鉗子を使って掴んで取り出したり、掃除機のような吸引の器械を使って吸い出したりします。必要となれば清潔な温めた生理食塩水で洗浄したりします。また、硬くて取りにくい耳あかの場合には、生理食塩水や点耳薬などを耳に入れて、耳あかをふやかして取りやすくして除去することもあります。

これらの写真はご本人もしくは保護者の了解をとれた方のみ掲載しています。

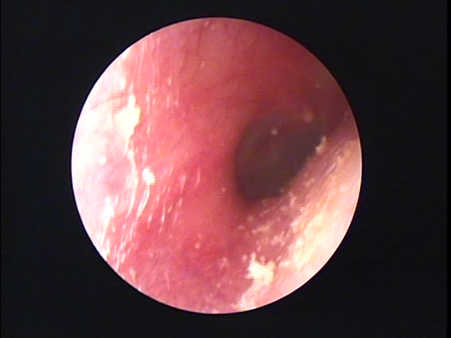
長崎県佐世保市の方
外耳炎を起こしている長崎県佐世保市の方の耳垢掃除の画像

両耳がかゆかったそうです。細かい耳垢を掃除したら軽くなったそうです。軽度の外耳炎もありました。

⇒外耳炎はこちら

長崎県長崎市の方
長崎県長崎市の方の耳垢掃除の写真

両耳がかゆくてガサガサ音がするとのことで受診されました。外耳道手前から鼓膜そばにかけて耳垢が付着していました。生理食塩水で洗浄して綺麗にしたらガサガサは消失しました。アレルギー性鼻炎もあって耳が痒くなりやすく外耳炎の治療も行うことになりました。

⇒外耳炎はこちら
⇒アレルギー性鼻炎はこちら

 

長崎県長崎市の方
長崎県長崎市の方の耳垢掃除の画像

両耳に音がするそうです。右の鼓膜に耳垢が付着していて除去したら消失したそうです。

長崎県雲仙市の方
長崎県雲仙市の方の耳垢掃除の画像

耳がジガジガするとのことで受診されました。除去しましたらジガジガ感は消失しました。反対の耳も耳垢で充満していましたので除去しました。

長崎県対馬市の方
長崎県対馬市の方の耳垢掃除の写真

両耳がかゆいとのことで受診されました。外耳道手前から鼓膜そばにかけて耳垢が付着していました。生理食塩水で洗浄して綺麗にしたらかゆみは消失しました。

長崎県五島市の方
長崎県五島市の方の耳垢掃除の画像

左耳に出来物があるとのことです。写真で左手前側に耳垢があります。この耳垢を出来物と認識されていたようで除去すると治ったそうです。

長崎県諫早市の方
長崎県諫早市の方の耳垢掃除の画像

痰が出ると受診されたところ外耳道に耳垢が詰まっていました。摘出したところ耳はスッキリとしたそうです。

長崎県平戸市の方
長崎県平戸市の方の耳垢掃除の画像

左耳に耳鳴りがすると受診されました。外耳道深部および鼓膜に耳垢が付着していて、それを除去すると耳鳴りが軽くなったそうです。時々そんな患者さんがいらっしゃいます。

長崎県壱岐市
長崎県壱岐市の方の耳垢掃除の画像

耳が痒くてたまらないと受診されました。外耳道および鼓膜のそばに耳垢がありそのため痒みが出ていると診断しました。生理食塩水で洗って摘出し痒みは軽減したそうです。